Radiografie a Domicilio 
Servizio Attivo su Roma e Provincia
Offriamo un servizio di Radiologia Domiciliare, garantendo comodità e professionalità direttamente a casa tua. 
Chiama e Prenota anche in Giornata!
1 Radiografia
A partire da € 100,00
La promozione è valida su tutto il territorio di Roma e i costi variano in base all'urgenza, alla zona e al tipo di prestazione richiesta.
5 stelle su 5
Referto
IMMEDIATO
Tel:3478715691WHATSAPP
Radiografie a domicilio Roma

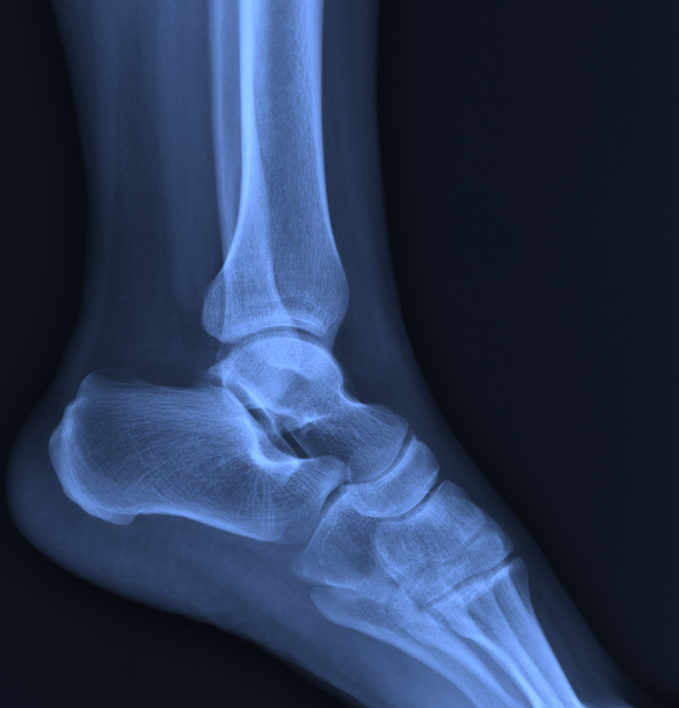
Radiografia della Caviglia a Domicilio

In 3 semplici passi:
Interventi rapidi, personale qualificato, referto immediato.
Prenotazione
Contattaci per assistenza e per concordare un appuntamento con il nostro personale qualificato, anche in giornata.
Scopri di più
Esecuzione Esame
Il nostro personale medico eseguirà l’esame richiesto presso la vostra abitazione, casa di cura o ufficio in totale sicurezza (20/30 min).
Scopri di più
Referto
Grazie ai nostri macchinari di ultima generazione, vi forniremo subito un CD con immagini in alta definizione e il referto medico.
Scopri di più
Radiografia caviglia

Che cos'è la radiografia alla caviglia ?

La radiografia della caviglia, o RX caviglia, è un esame diagnostico che utilizza i raggi X per creare immagini dettagliate delle strutture interne della caviglia. 

Questo esame permette di visualizzare le ossa, che appaiono molto più chiare rispetto agli altri tessuti, e le articolazioni, che risultano più scure.

L'esame radiografico diretto della caviglia viene condotto utilizzando un fascio di raggi X che attraversa la caviglia e si imprime su una pellicola, creando un'immagine fotografica delle strutture interne. 

La caviglia viene scansionata con un’apparecchiatura radiografica portatile, che può essere utilizzata sia in posizione distesa su un lettino che in piedi.

A cosa serve la radiografia alla caviglia?

La radiografia della caviglia è utilizzata principalmente per individuare fratture ossee, lussazioni, artrite, e altre patologie che possono interessare le ossa e le articolazioni della caviglia. 

È un esame di primo livello, spesso utilizzato come monitoraggio o preliminare ad altri esami più approfonditi, come la risonanza magnetica o la TAC.

La radiografia permette di vedere chiaramente le ossa, che appaiono bianche e compatte, mentre i tessuti molli risultano più scuri. 

Questo contrasto aiuta a identificare anomalie come fratture, disallineamenti delle articolazioni, e segni di artrite.

Ci sono controindicazioni?

La radiografia alla caviglia è un esame non doloroso e non invasivo

L’esposizione ai raggi X è minima e considerata sicura grazie all'uso di apparecchiature moderne e procedure di schermatura per proteggere le parti più radiosensibili del corpo. 

Tuttavia, è importante informare il personale medico in caso di gravidanza per adottare le necessarie precauzioni. 

Le controindicazioni alla radiografia della caviglia sono poche, ma è essenziale evitare l’esame in caso di gravidanza.

E' necessaria una preparazione?

Per la radiografia alla caviglia, non è necessaria una preparazione specifica. 

Non è richiesto il digiuno né alcuna dieta particolare prima dell’esame. L'esame è rapido e generalmente dura meno di cinque minuti. 

Un operatore qualificato eseguirà la radiografia con la massima professionalità e attenzione alla tua comodità.

Chiama il numero 347.8715691 per ulteriori informazioni e per fissare un appuntamento.
radiografieadomicilioroma 1

Radiografie a Domicilio Roma

radiografie domicilio roma

Esami Radiografici

I nostri esami radiografici a domicilio ti permettono di ricevere diagnosi accurate e immediate senza doverti muovere da casa.

Una volta prenotato il servizio, interveniamo entro poche ore direttamente a casa tua, senza attese e senza spostamenti.

Il nostro macchinario portatile di alta qualità consente di effettuare radiografie precise e dettagliate, garantendo la massima sicurezza e conformità alle norme di radioprotezione.

 Dopo aver scattato la radiografia, l’immagine viene trasferita su un CD e ti viene consegnata immediatamente.

Inoltre, riceverai il referto via email, con la possibilità di consultarlo e condividerlo con il tuo medico.

Per prenotare la tua radiografia a domicilio a Roma e provincia, contattaci telefonicamente al numero 347.8715691.

Siamo disponibili 24 ore su 24, 7 giorni su 7, per fornirti tutte le informazioni di cui hai bisogno e per comunicarti la prima fascia oraria utile per effettuare il tuo esame in completa sicurezza.

Che tu abbia bisogno di una radiografia dell'addome, del torace, degli arti o di qualsiasi altra parte del corpo, il nostro servizio è progettato per offrirti la stessa qualità di una clinica direttamente a casa tua.

Non esitare a contattarci per conoscere le nostre disponibilità e ottenere un'offerta con il miglior prezzo possibile per la tua radiografia a domicilio.

5,0
69 recensioni
Le recensioni non sono verificate da Google, ma Google controlla la presenza di contenuti falsi e li rimuove quando vengono identificati.

Recensioni servizi domiciliari radiografia a Roma

Scopri cosa dicono di noi
La professionalità e la cortesia del personale sono state eccezionali. La ragazza al telefono era molto preparata e ha trovato subito un orario adatto alle nostre esigenze. Il tecnico che è venuto a casa per la radiografia alla caviglia di mio marito è stato molto professionale e discreto. Abbiamo ricevuto il referto e le immagini poco dopo l'esame, sia su CD che via email. Servizio consigliatissimo

Marta R.

Un servizio eccellente dall'inizio alla fine. La prenotazione è stata semplice grazie alla gentilezza della ragazza al telefono. Il personale che ha effettuato la radiografia alla caviglia di mia madre è stato professionale e rispettoso. Abbiamo ricevuto il referto medico e le immagini in tempi record, sia su CD che via email. Non potrei essere più soddisfatto!

Giovanni P.

Esperienza davvero positiva con il servizio di radiografia a domicilio per la caviglia. La ragazza che ha gestito la prenotazione è stata molto cordiale e ha trovato un appuntamento in base alle nostre esigenze. Il tecnico radiologo che è venuto a casa nostra è stato molto professionale e discreto. Subito dopo l'esame, abbiamo ricevuto il referto e le immagini sia su CD che via email. Consiglio vivamente questo servizio!.

Alessia R.

CHIAMA ORA

FAQ - Radiografia Caviglia

Come posso prenotare una radiografia a domicilio a Roma?
Per richiedere una radiografia a domicilio, potete contattarci al numero 347.8715691, tramite email o compilando il modulo di prenotazione presente sul nostro sito web.
Chi eseguirà la radiografia a domicilio?
Le radiografie a domicilio sono eseguite da tecnici di radiologia altamente qualificati, supportati da radiologi esperti che interpretano i risultati.
Quanto tempo ci vuole per ottenere i risultati delle radiografie a domicilio?
I risultati delle radiografie a domicilio sono subito disponibili su un CD con immagini in alta definizione, comprensive di referto medico.
Quali sono i costi per una radiografia a domicilio a Roma?
I costi delle radiografie a domicilio variano a seconda del tipo di esame richiesto. Per informazioni dettagliate sui prezzi, è possibile chiamare (347.8715691).
Contattaci
Il nostro servizio di diagnostica radiografica a domicilio è disponibile su Roma e provincia.
visita cardiologica eseguita dal Cardiologo
Garantiamo la totale sicurezza grazie a radiografie a basse emissioni, realizzate con le migliori tecnologie.
Scrivici
Nome(Obbligatorio)
Email(Obbligatorio)
Hai una domanda da farci? Chiedi pure.
o chiamaci
Hai bisogno di un appuntamento?
Contattaci nel modo che preferisci e parla con i nostri specialisti pronti ad aiutarti!
CHIAMA ORA
Scopri i nostri servizi
Servizio professionale di radiografie a domicilio a Roma con intervento rapido e referti immediati.
I SERVIZI
Vuoi conoscere la missione del team?
Il nostro team è composto da professionisti altamente qualificati.
CHI SIAMO
TEAMHISTORYABOUT
SANDBOXOXYGENCHECKLIST
© Copyright 2024 - P.IVA 15069491007
pencilenvelopeuseruserscartphone-handsetpushpinmap-markercalendar-fullchart-barsclocklist CHIAMA ORA 3478715691 linkedin facebook pinterest youtube rss twitter instagram facebook-blank rss-blank linkedin-blank pinterest youtube twitter instagram